DENTÁLNÍ HYGIENA BRNO - BC. LENKA VLAŠÍNOVÁ
Místo, kde se o Váš úsměv pečuje s citem.
Naším cílem je nabídnout vám příjemné prostředí, moderní technologie a citlivý přístup, díky kterému se dentální hygiena stane přirozenou součástí vašeho zdravého životního stylu.

Jsem Lenka Vlašínová
a stojím za Dentolkou
Vytvořila jsem místo, kde se dentální hygiena opírá o klid, důvěru a otevřenou komunikaci. Zakládám si na odbornosti, ověřených postupech a srozumitelném vysvětlování bez zbytečného strachu. Zkušenosti z parodontologické praxe i neustálé vzdělávání propojuji s lidským přístupem, empatií a trpělivostí. U Dentolky jsou vítaní malí i velcí.
Úsměvy, které
mluví za vše
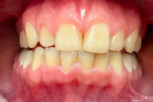
PO
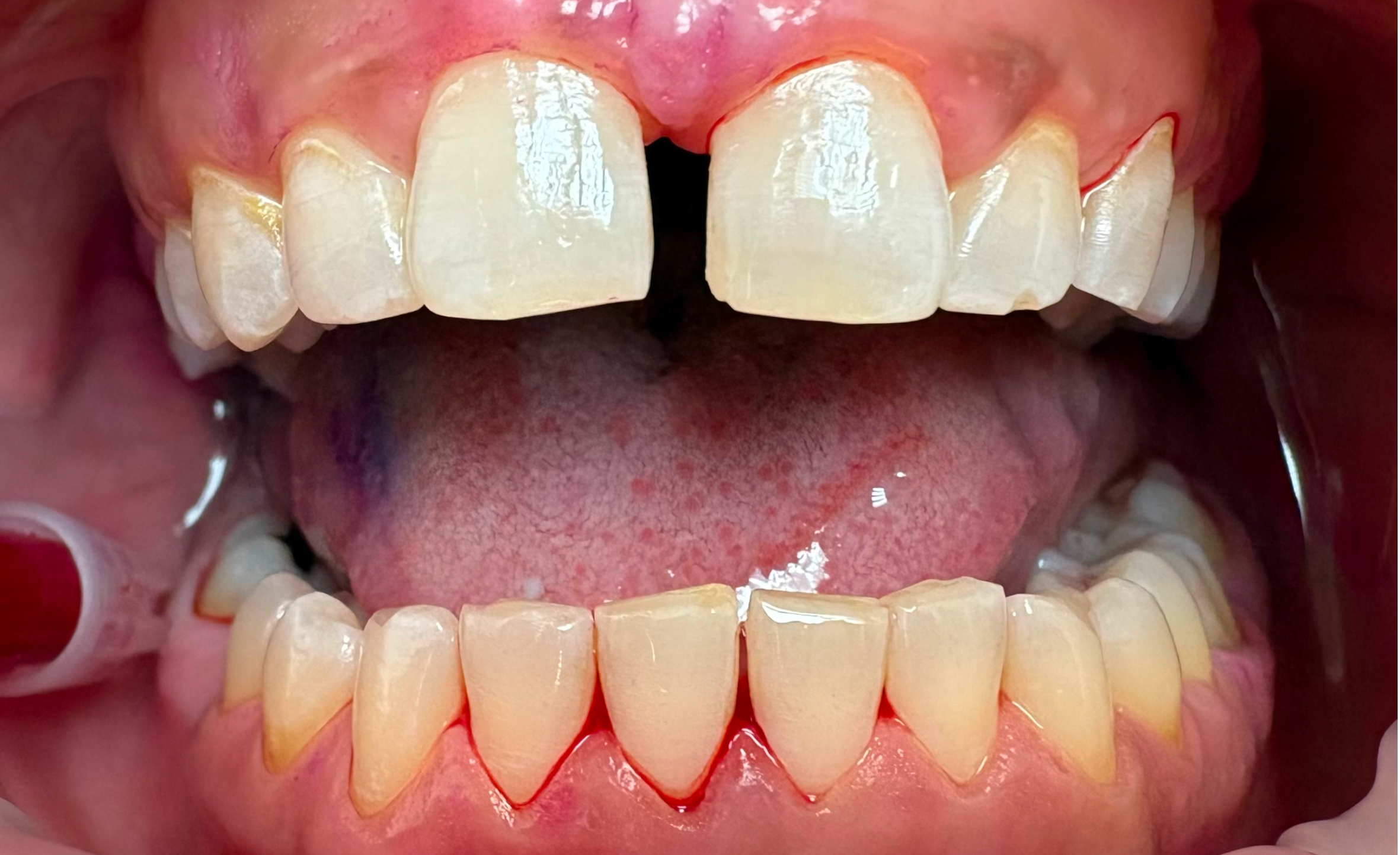
PŘED„Velmi profesionální a jemný přístup. Vše mi bylo srozumitelně vysvětleno a ošetření proběhlo bez stresu."
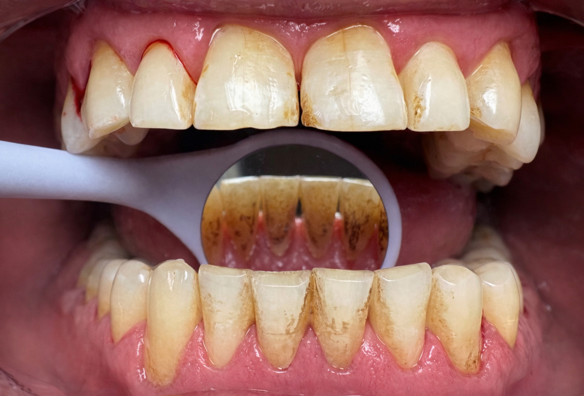
PO
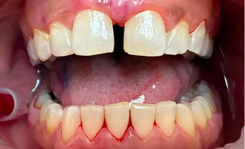
PŘED„Příjemné a klidné prostředí. Pečlivá práce a jasná komunikace mi dodaly pocit jistoty."
PO
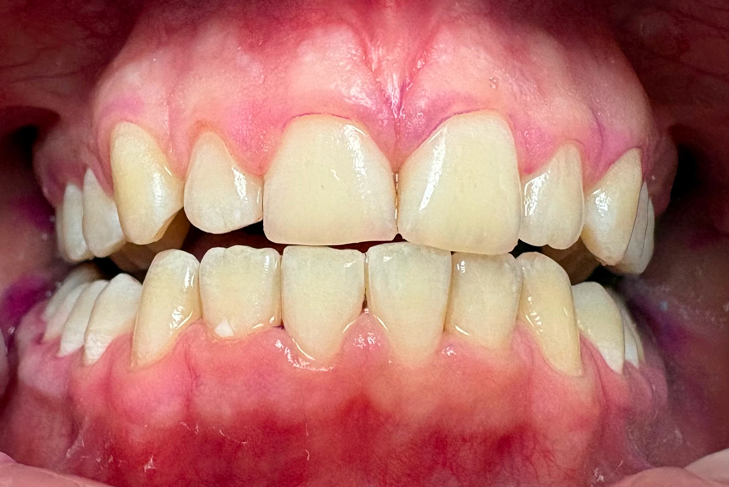
PŘED„Odborná péče s lidským přístupem. Výsledek byl viditelný hned po ošetření."
Postarám se o vše,
co potřebujete

Bělení zubů
šetrnými postupy

Dentální hygiena
pro děti i dospělé

Instruktáž technik
čištění zubů

Konzervativní léčba
paradontitidy

Odstranění pigmentací
a zubního kamene

Šetrné ošetření
podle GBT protokolu
Kolik stojí péče
o váš úsměv?
Vstupní dentální hygiena
Pro dospělé
75 minut
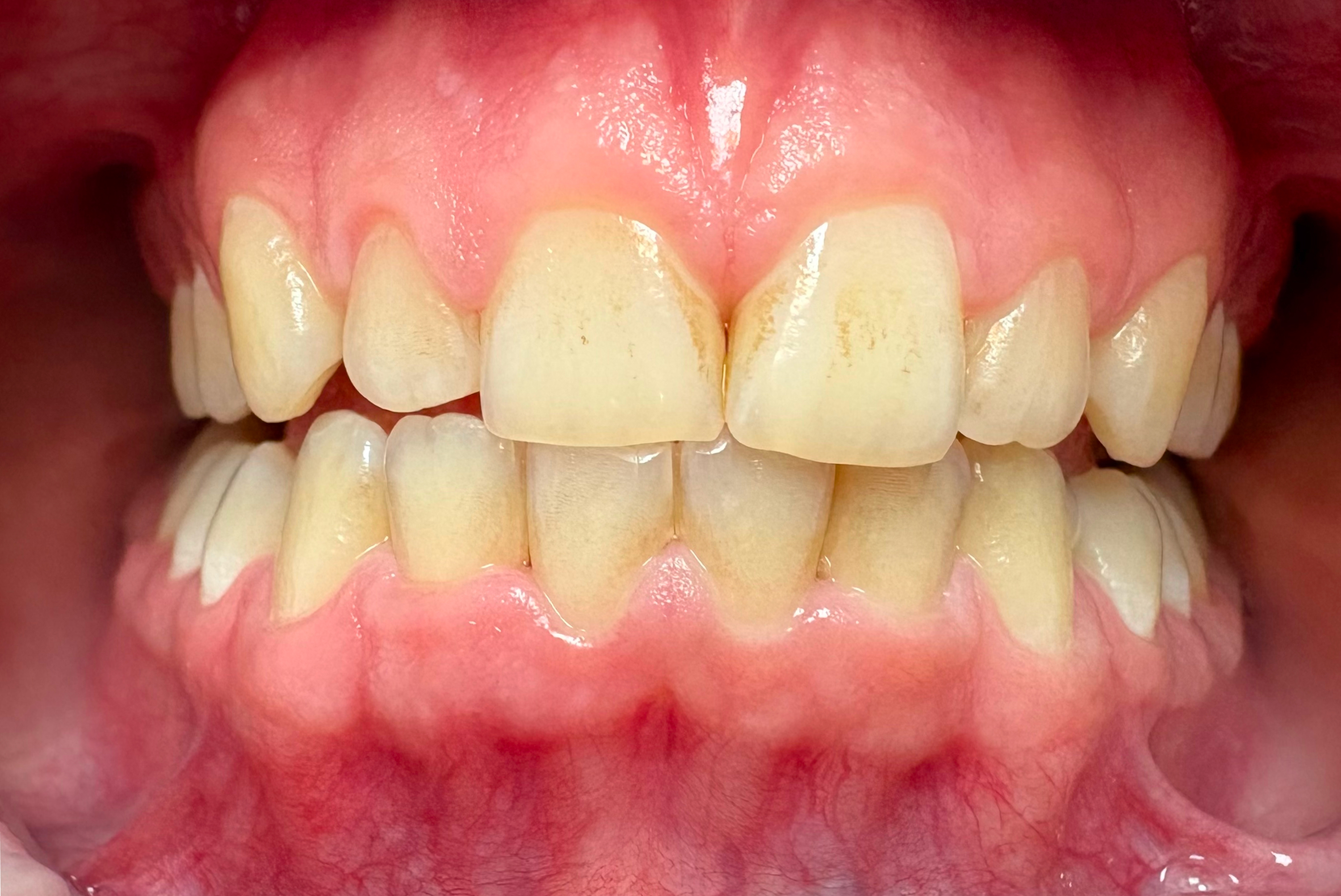
Pečlivě vyšetříme stav dutiny ústní a zubní plak obarvíme, abychom Vás mohli co nejefektivněji instruovat ke zlepšení péče o Vaše zuby a dásně. Následně šetrně odstraníme zubní plak, zubní kámen i pigmentace pomocí nejmodernějšího přístroje společnosti EMS.
Kontrolní návštěva
Pro dospělé
60 minut
Na kontrolní návštěvě společně zhodnotíme výsledek ošetření, odstraníme případné zbytky zubního kamene a doladíme techniku čištění. Dle aktuálního stavu následně stanovíme pravidelný interval návštěv pro dlouhodobé udržení zdraví zubů a dásní.
Pravidelná recall péče
Pro dospělé
45 minut
Cílem naší péče je dostat Vás do fáze pravidelných recall návštěv, které jsou obvykle doporučovány v intervalu dvakrát ročně. Ošetření probíhá dle protokolu GBT a zaměřuje se na dlouhodobé udržení čistých zubů a zdravých dásní. Při těchto návštěvách již dobře známe Vaše potřeby a péči vždy přizpůsobujeme individuálně.
Vše, co potřebujete vědět.
info@dentolkabrno.cz
Telefon
+420 773 854 754
Poliklinika Dobrovského, 2. patro
Dobrovského 2199/23, 612 00 Brno
Ordinační hodiny